Skip to main content
你想学什么?
登录
现在加入
登录
Menu
我的简历
我的课程
Admin Courses
登出
Main navigation
主页
课程
网络研讨会
Product Training
工具箱
Menu
Sonosite 资源
其他资源
电子图书馆
贡献者
联系我们
简体中文
English
Español
日本語
Deutsch
Français
简体中文
English
Español
日本語
Deutsch
Français
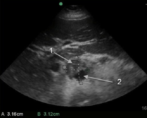
主动脉小腹主动脉瘤 (AAA) 含血栓图像
主动脉小腹主动脉瘤 (AAA) 含血栓图像
主动脉 (Ao)
Lumen(内腔)