Knee Infrapatellar Tendon Anatomy 1 Image

Knee Infrapatellar Tendon Anatomy 1 Image

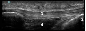
  1. Inferior Patellar (or Inferior Patellar Pole)
  2. Tibial Tuberosity
  3. Patellar Tendon
  4. Hoffa’s Fat Pad