Cardíaco: Vista desde el plano subxifoideo - Imagen

Cardíaco: Vista desde el plano subxifoideo - Imagen

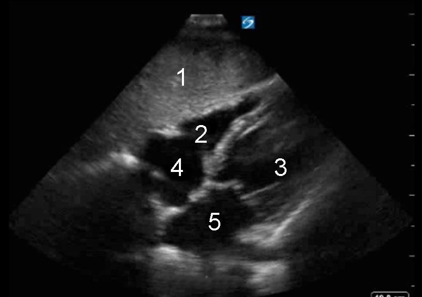
  1. Hígado
  2. Ventrículo derecho (VD)
  3. Ventrículo izquierdo (VI)
  4. Aurícula derecha (AD)
  5. Aurícula izquierda (AI)