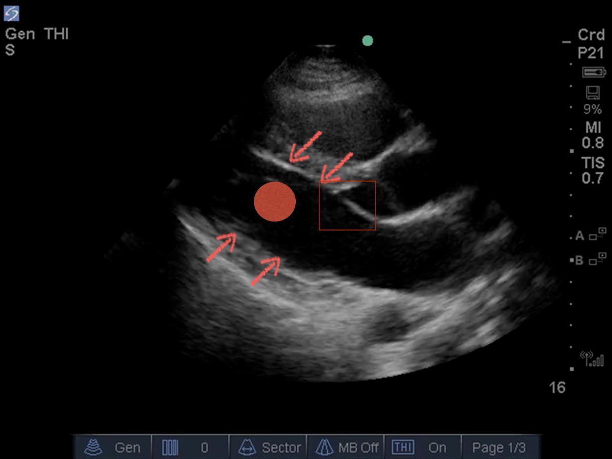
Engrosamiento del miocardio, desplazamiento endocárdico, STPE - Imagen
Flechas rojas: mire aquí para evaluar el engrosamiento del miocardio
Punto rojo: mire aquí para evaluar el desplazamiento del endocardio
Cuadro rojo: mire aquí para evaluar STPE
Flechas rojas: mire aquí para evaluar el engrosamiento del miocardio
Punto rojo: mire aquí para evaluar el desplazamiento del endocardio
Cuadro rojo: mire aquí para evaluar STPE