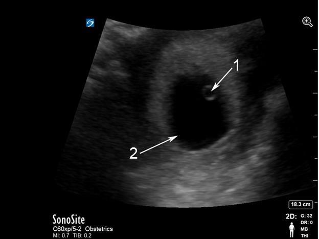
Escaneo endovaginal pélvico – Imagen de saco gestacional con saco vitelino

Escaneo endovaginal pélvico – Imagen de saco gestacional con saco vitelino

  1. Saco vitelino (Yolk Sac)
  2. Saco gestacional (Gestational Sac)