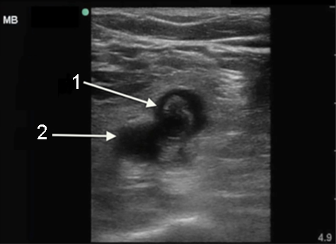
Imagen 1 de trombosis venosa profunda (TVP), trombo en la vena poplítea

Imagen 1 de trombosis venosa profunda (TVP), trombo en la vena poplítea

  1. Vena poplítea/trombosis venosa profunda (TVP) crónica
  2. Arteria poplítea