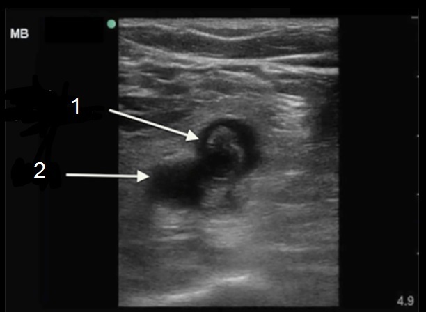
Imagen 1 de trombosis venosa profunda (TVP), trombo en la vena poplítea

Imagen 1 de trombosis venosa profunda (TVP), trombo en la vena poplítea

  1. Trombosis venosa profunda (TVP) crónica de la vena poplítea
  2. Arteria poplítea