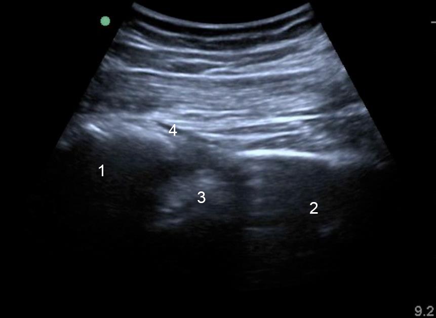
Imagen 2 de la estructura ósea de la parte posterior de la cadera

Imagen 2 de la estructura ósea de la parte posterior de la cadera

  1. Sacro
  2. Isquion
  3. Agujero o foramen ciático mayor
  4. Arteria glútea superior