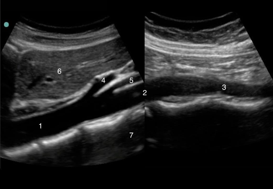
Imagen 2 longitudinal de la aorta

Imagen 2 longitudinal de la aorta

  1. Aorta (Ao)
  2. Aorta media (Ao)
  3. Aorta distal (Ao)
  4. Tronco celíaco
  5. Arteria mesentérica superior (AMS)
  6. Hígado
  7. Columna