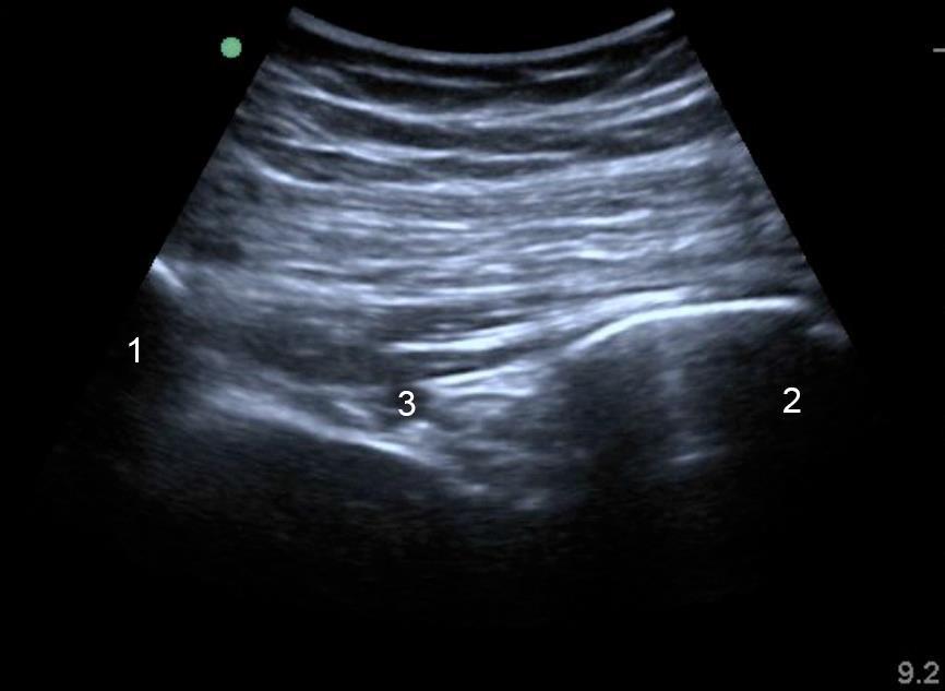
Imagen 3 de la estructura ósea de la parte posterior de la cadera

Imagen 3 de la estructura ósea de la parte posterior de la cadera

  1. Sacro
  2. Isquion
  3. Arteria glútea inferior