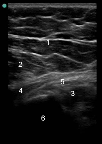
Imagen anatómica de la bolsa trocantérica en el lateral la cadera

Imagen anatómica de la bolsa trocantérica en el lateral la cadera

  1. Grasa subcutánea
  2. Músculo glúteo mayor
  3. Músculo glúteo medio
  4. Músculo tensor de la fascia lata
  5. Interfase bursal
  6. Corteza del trocánter mayor