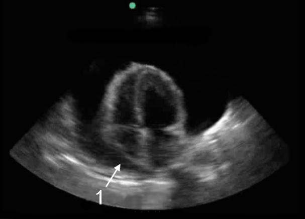
Imagen cardíaca de Taponamiento desde el plano apical de las 4 cámaras

Imagen cardíaca de Taponamiento desde el plano apical de las 4 cámaras

  1. Colapso diastólico de la aurícula derecha