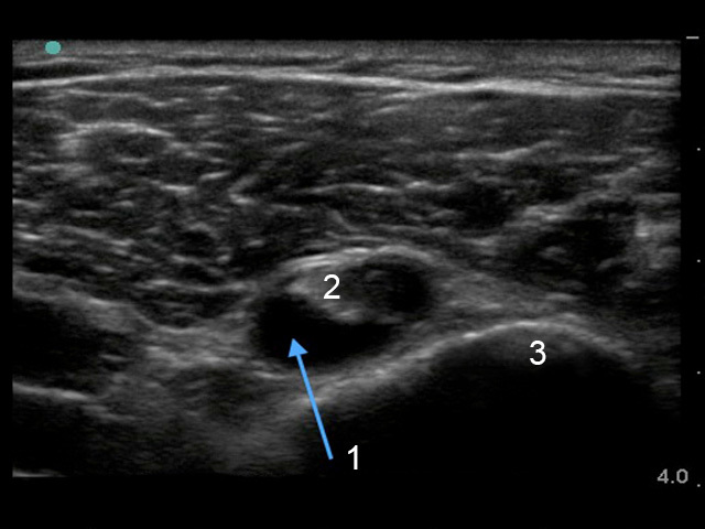
Imagen de derrame de vaina de tendón de bíceps del hombro

Imagen de derrame de vaina de tendón de bíceps del hombro

  1. Derrame de vaina de tendón del bíceps
  2. Tendón bíceps
  3. Húmero