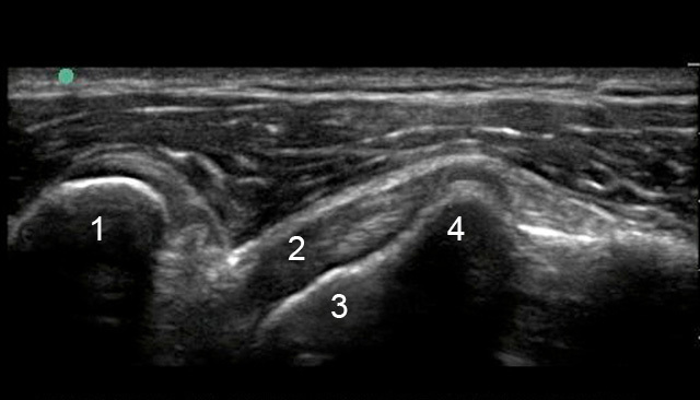
Imagen del tendón subescapular anterior del hombro

Imagen del tendón subescapular anterior del hombro

  1. Apófisis coracoides
  2. Tendón subescapular
  3. Cabeza humeral
  4. Tuberosidad menor