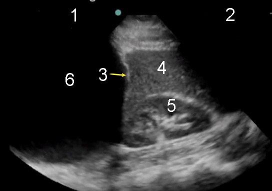
Toraconcentesis en derrame pleural grande con transductor en fase

Toraconcentesis en derrame pleural grande con transductor en fase

  1. Tórax superior
  2. Abdomen inferior
  3. Diafragma
  4. Bazo
  5. Riñón
  6. Derrame pleural grande