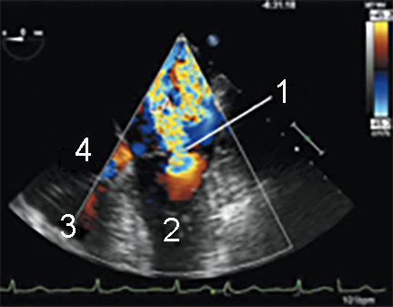
Cardiac 2 Valves Vena Contracta 2 Image Vena Contracta of Mitral Regurgitant (MR) Jet Left Ventricle (LV) Right Ventricle (RV) Right Atrium (RA)