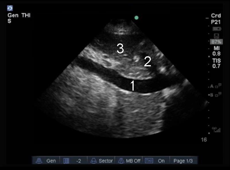
Clip vidéo - Échographie cardiaque - Veine cave inférieure (VCI), Coupe sagittale

Clip vidéo - Échographie cardiaque - Veine cave inférieure (VCI), Coupe sagittale

  1. Veine cave inférieure (VCI)
  2. Veine hépatique (HV)
  3. Foie