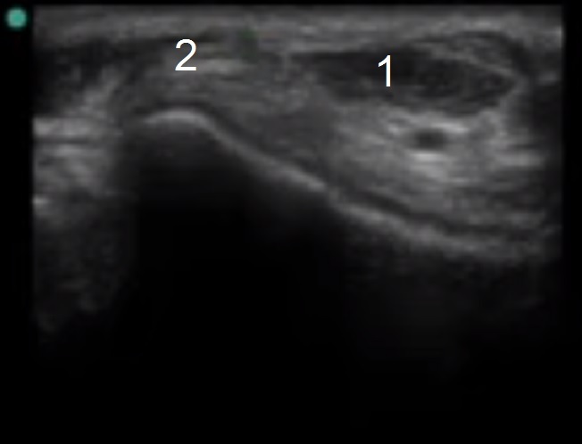
Image 2 - Pied et cheville, anatomie du tendon extenseur

Image 2 - Pied et cheville, anatomie du tendon extenseur

  1. Tendon long extenseur de l'hallux
  2. Tendon long extenseur du doigt