Image - Aorte moyenne, coupe transverse

Image - Aorte moyenne en coupe transverse

Image - Aorte moyenne, coupe transverse

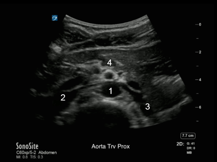
  1. Aorte (Ao)
  2. Veine cave inférieure (VCI)
  3. Veine rénale gauche
  4. Artère mésentérique supérieure