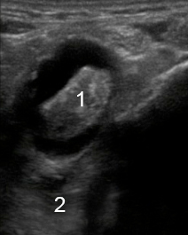
Image - Cheville médiale : Épanchement du long fléchisseur de l'hallux, Coupe transverse

Image - Cheville médiale : Épanchement du long fléchisseur de l'hallux, Coupe transverse

  1. Long fléchisseur de l'hallux
  2. Transverse