Image - Cheville postérieure : Cheville supérieure, Coupe sagittale moyenne

Image - Cheville postérieure : Cheville supérieure, Coupe sagittale moyenne

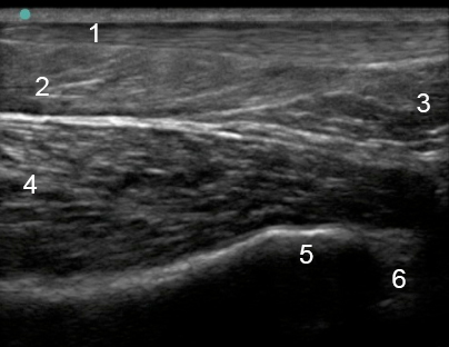
  1. Tendon calcanéen
  2. Muscle soléaire
  3. Paquet adipeux de Kager
  4. Tendon du long fléchisseur de l'hallux (LFH)
  5. Tibia
  6. Talus