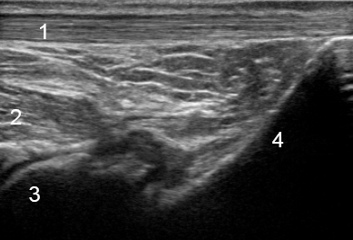
Image - Cheville postérieure : Coupe longitudinale

Image - Cheville postérieure : Coupe longitudinale

  1. Tendon calcanéen
  2. Tendon du long fléchisseur de l'hallux (LFH)
  3. Talus
  4. Calcanéus