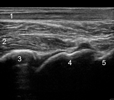
Image - Cheville : Vue postérieure longitudinale

Image - Cheville : Vue postérieure longitudinale

  1. Tendon calcanéen
  2. Tendon du long fléchisseur de l'hallux (LFH)
  3. Tibia
  4. Talus
  5. Calcanéus