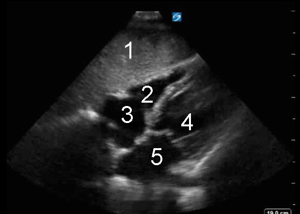
Image : Cœur, vue sous-xiphoïdienne

Image : Cœur, vue sous-xiphoïdienne

  1. Foie
  2. Ventricule droit (VD)
  3. Oreillette droite (RA)
  4. Ventricule gauche (VG)
  5. • Oreillette gauche (OG)