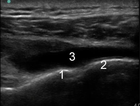
Image : Épaule, Épanchement de l'articulation gléno-humérale

Image : Épaule, Épanchement de l'articulation gléno-humérale

  1. Cortex glénoïdien
  2. Tête de l'humérus
  3. Épanchement