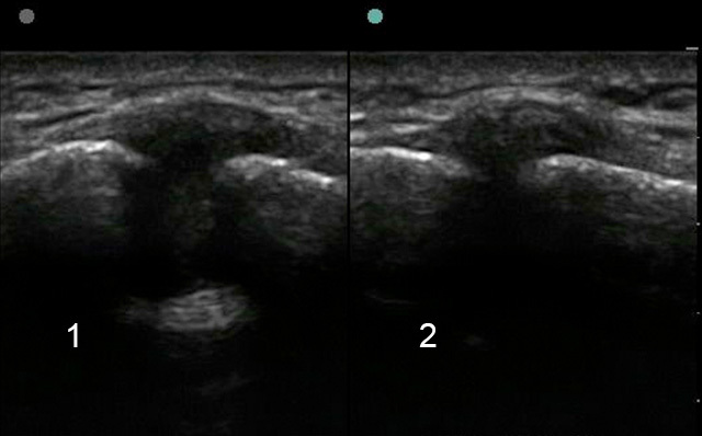
Image - Épaule : Liquide dans l'articulation acromio-claviculaire

Image - Épaule : Liquide dans l'articulation acromio-claviculaire

  1. Articulation acromio-claviculaire (AC)
  2. Toucher de l'autre épaule