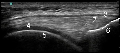
Knee Quadriceps Tendon Complex Image
- Vastus Intermedius Contribution to the Quadriceps Tendon
- Vastus Lateralis/Medialis Contribution to the Quadriceps Tendon
- Rectus Femoris Contribution to the Quadriceps Tendon
- Trochlear Hyaline Cartilage
- Distal Femur
- Proximal Patella