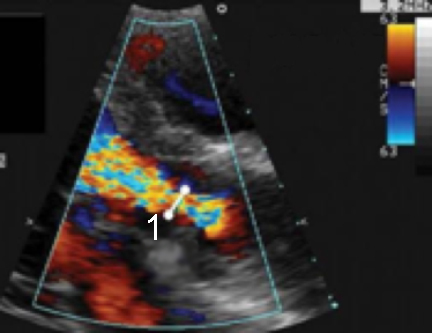
Cardiac 2 Valves Vena Contracta 1 Image Vena Contracta through the aortic valve in a zoomed in image from a Parasternal Long Axis (PLAX) view