Cardiac Imaging 2 - Transesophageal Echocardiography (TEE) (English Only)
Temps du cours: 1h 17min
This course will compare Transthoracic Echocardiography (TTE) and Transesophageal Echocardiography (TEE), outline clinical questions with point-of-care TEE, describe how to get started with TEE (politics, cost, logistics), discuss safety and training, review a suggested TEE protocol, and give several case examples using TEE.
of 4 sections terminées
Cardiac 2 - TEE: Introduction
Introductory material and disclaimer
Cardiac 2 - TEE: Lesson
Transesophageal Echocardiography
Cardiac 2 - TEE: Post-Test
Assess your knowledge of the material presented in the lesson with a post-test. Score 80% or higher to receive a certificate of completion.
Cardiac 2 - TEE: Additional Resources
View additional material related to this course
Description
- Right Atrium (RA)
- Right Ventricle (RV)
- Left Ventricle (LV)
- Left Atrium (LA)
- Tricuspid Valve
- Mitral Valve
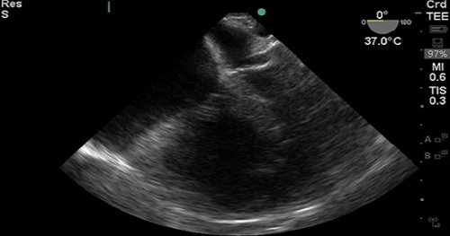
Description
- Right Ventricular Outflow Tract (RVOT)
- Left Ventricle (LV)
- Left Atrium (LA)
- Mitral Valve
- Aortic Valve
- Pericardium
Description
- Superior Vena Cava (SVC)
- Right Atrium (RA)
- Inferior Vena Cava (IVC)
- Left Atrium (LA)
- Interatrial Septum
Description
- Posteromedial Papillary Muscle
- Anterolateral Muscle
- Left Ventricle (LV)
- Right Ventricle (RV)
- Pericardium
Description
- Right Ventricular Outflow Tract (RVOT)
- Left Ventricle (LV)
- Left Atrium (LA)
- Mitral Valve
- Aortic Valve
- Pericardium
Description
- Right Ventricular Outflow Tract (RVOT)
- Left Ventricle (LV)
- Left Atrium (LA)
- Mitral Valve
- Aortic Valve
- Pericardium