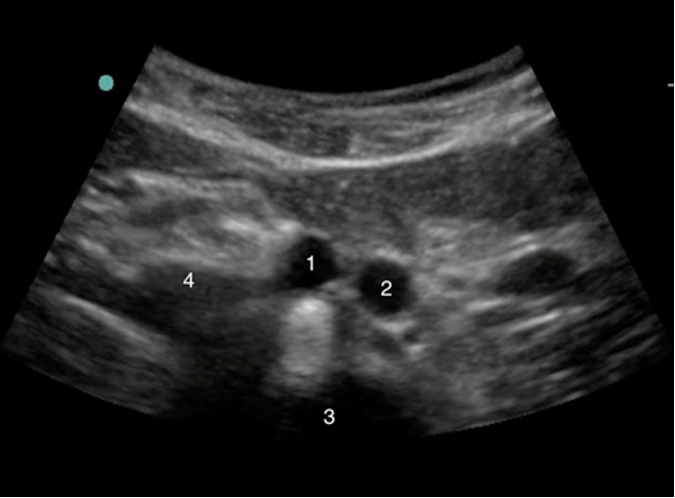
Aorta Bifurcation - Angle Below Umbilicus Image

ultrasound-img

Aorta Bifurcation - Angle Below Umbilicus Image

  1. Right Common Iliac Artery
  2. Left Common Iliac Artery
  3. Spine
  4. Inferior Vena Cava (IVC)