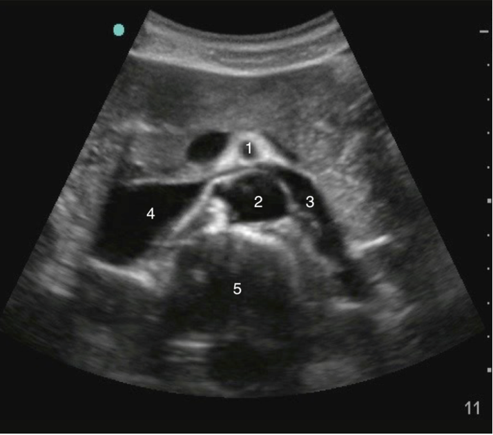
Aorta Transverse Proximal Image

ultrasound-img

Aorta Transverse Proximal Image

  1. Superior Mesenteric Artery (SMA)
  2. Aorta
  3. Left Renal Vein
  4. Inferior Vena Cava (IVC)
  5. Spine