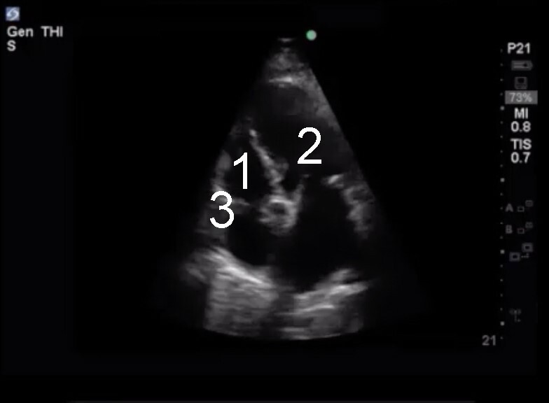
Cardiac 2 Anatomic Orientation to the RV and the Apical 4 Chamber View Image

Cardiac 2 Anatomic Orientation to the RV and the Apical 4 Chamber View Image

  1. Right Ventricle (RV)
  2. Left Ventricle (LV)
  3. Tricuspid Annulus