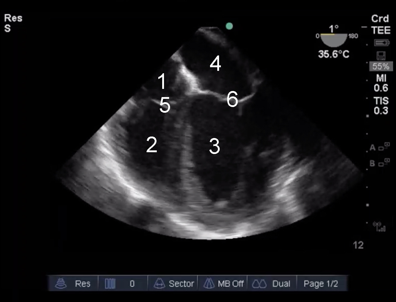
Cardiac 2 TEE Mid Esophageal 4 Chamber Image

Cardiac 2 TEE Mid Esophageal 4 Chamber Image

  1. Right Atrium (RA)
  2. Right Ventricle (RV)
  3. Left Ventricle (LV)
  4. Left Atrium (LA)
  5. Tricuspid Valve
  6. Mitral Valve