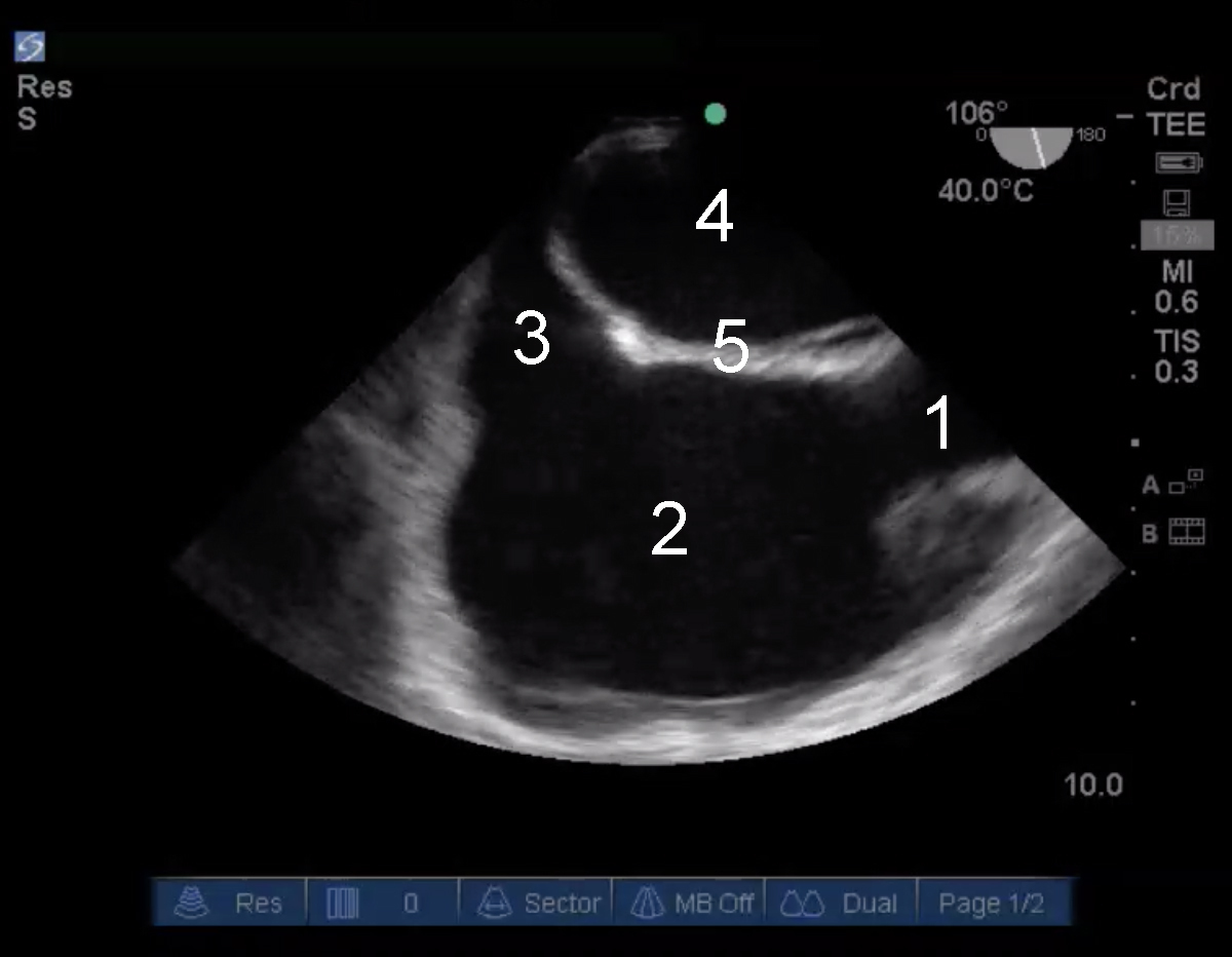
Cardiac 2 TEE Mid Esophageal Bicaval SVC Image

Cardiac 2 TEE Mid Esophageal Bicaval SVC Image

  1. Superior Vena Cava (SVC)
  2. Right Atrium (RA)
  3. Inferior Vena Cava (IVC)
  4. Left Atrium (LA)
  5. Interatrial Septum