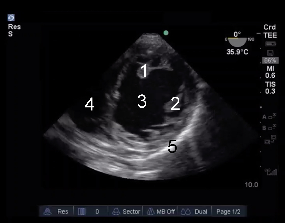
Cardiac 2 TEE Trans Gastric Image

Cardiac 2 TEE Trans Gastric Image

  1. Posteromedial Papillary Muscle
  2. Anterolateral Muscle
  3. Left Ventricle (LV)
  4. Right Ventricle (RV)
  5. Pericardium