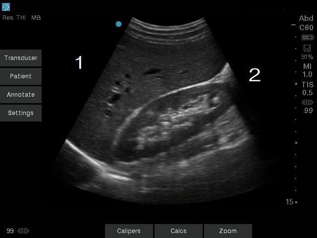
Coronal Transducer Orientation Liver and Right Kidney Image

Coronal Transducer Orientation Liver and Right Kidney Image

  1. Toward Patient's Head
  2. Toward Patient's Feet