Deep Vein Thrombosis (DVT) Lymph Node Image

Deep Vein Thrombosis (DVT) Lymph Node Image

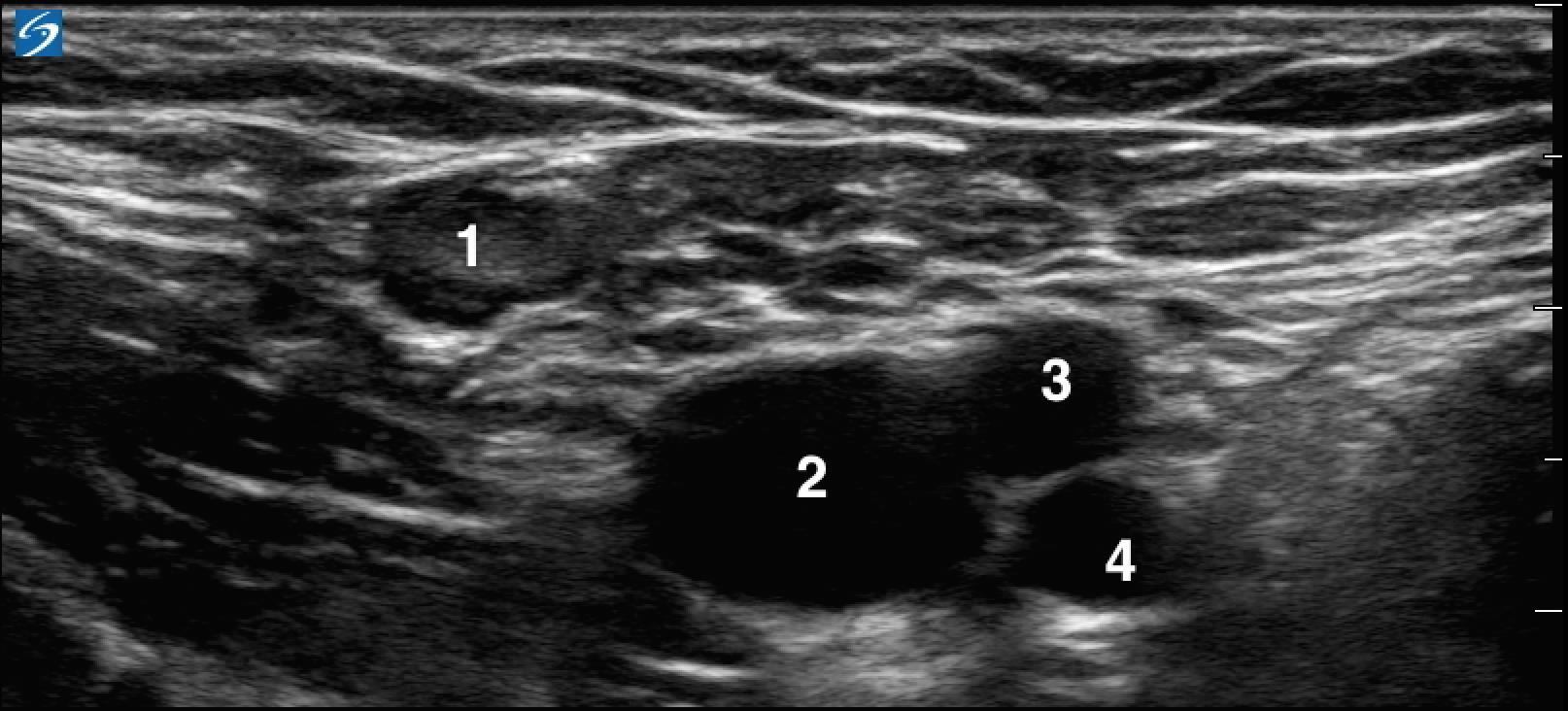
  1. Lymph Node
  2. Common Femoral Vein (CFV)
  3. Superficial Femoral Artery (SFA)
  4. Deep Femoral Artery (DFA)