Dialysis Ultrasound Physics Image

Dialysis Ultrasound Physics Image

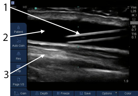
  1. Hyperechoic: a substance that sends many sound waves back to the transducer (white)
  2. Hypoechoic: a substance that sends few sound wave back to the transducer (grey)
  3. Anechoic: a substance that does not send any sound waves back (black)