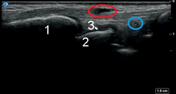
Dorsal Wrist Scaphoid and Radius Image

Dorsal Wrist Scaphoid and Radius Image

  1. Radius
  2. Scaphoid
  3. Synovial Fold of the 1st Carpal Row (sits on top of the articular hyaline cartilage)

Red circle: vein

Blue circle: arteries