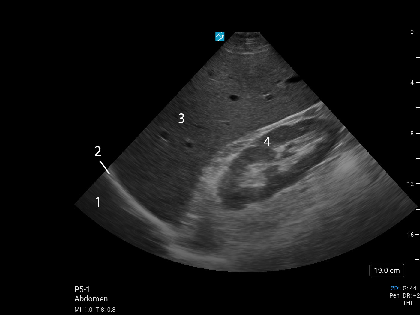
eFAST Right Upper Quadrant (RUQ) View 2 (Sonosite PX P5-1) Image

eFAST Right Upper Quadrant (RUQ) View 2 (Sonosite PX P5-1) Image

  1. Pleural Space
  2. Diaphragm
  3. Liver
  4. Right Kidney