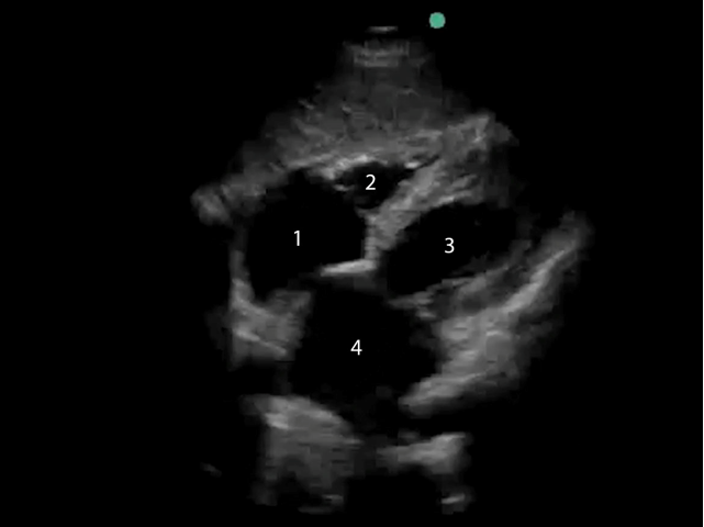
eFAST Subxiphoid View 2 Image

eFAST Subxiphoid View 2 Image

  1. Right Atrium (RA)
  2. Right Ventricle (RV)
  3. Left Ventricle (LV)
  4. Left Atrium (LA)