Elbow Distal Biceps Tendon with Brachial Artery Image

Elbow Distal Biceps Tendon with Brachial Artery Image

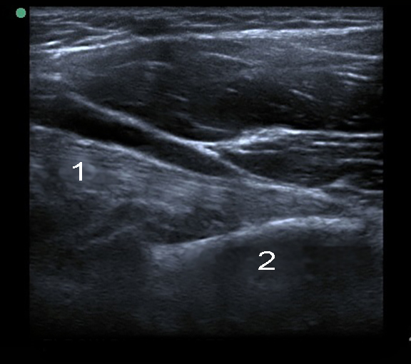
Elbow Distal Biceps Longitudinal

  1. Biceps Tendon (BT)
  2. Radial Tuberosity