Elbow Medial Elbow Image

Elbow Medial Elbow Image

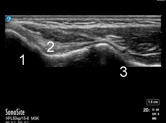
  1. Medial Epicondyle
  2. Ulnar Collateral Ligament (UCL)
  3. Sublime Tubercle of the Ulna