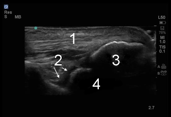
Elbow Posterior Recess Sagittal Image

Elbow Posterior Recess Sagittal Image

  1. Triceps Tendon
  2. Recess
  3. Olecranon Process
  4. Posterior Trochlea of the Humerus