Femoral Nerve Anatomy Image

Femoral Nerve Anatomy Image

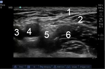
  1. Fascia Lata
  2. Fascia Iliaca
  3. Femoral Vein
  4. Femoral Artery
  5. Femoral Nerve
  6. Iliacus Muscle