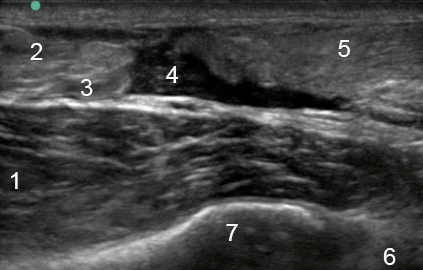
Foot & Ankle Achilles Tendon Tear Longitudinal Image

Foot & Ankle Achilles Tendon Tear Longitudinal Image

  1. Flexor Hallucis Longus (FHL)
  2. Achilles
  3. Soleus
  4. Tear Gap
  5. Achilles
  6. Talus
  7. Tibia