Foot & Ankle Anterior Recess Extensor Digitorum Longus Image

Foot & Ankle Anterior Recess Extensor Digitorum Longus Image

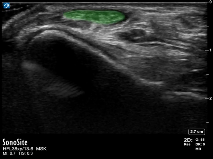
Highlighted Area: Extensor Digitorum Longus Tendon