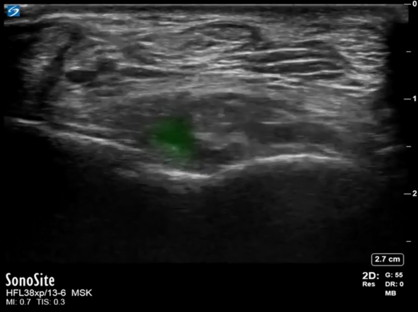
Foot & Ankle Anterior Recess Tibiotalar Joint Short Axis Image

Foot & Ankle Anterior Recess Tibiotalar Joint Short Axis Image

Highlighted Area: Small Effusion in the Tibiotalar Joint