Foot & Ankle Flexor Tendon Anatomy (Sonosite PX L15-4) Image

Foot & Ankle Flexor Tendon Anatomy (Sonosite PX L15-4) Image

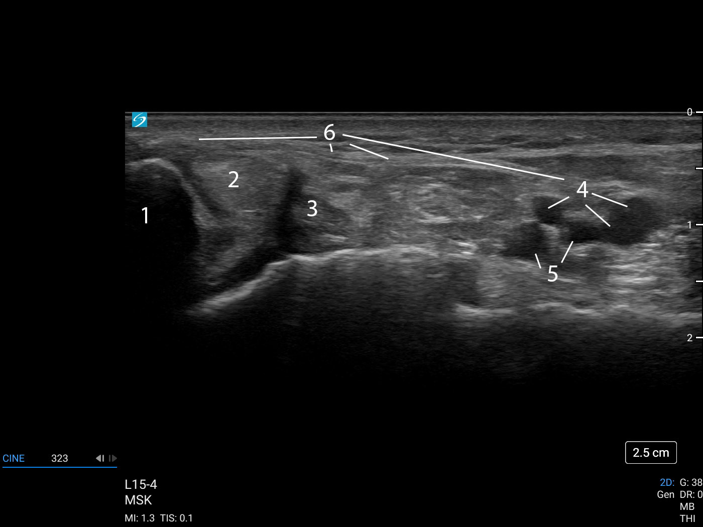
  1. Medial Malleolus
  2. Tibialis Posterior Tendon
  3. Flexor Digitorum Longus Tendon
  4. Posterior Tibial Veins (compressible)
  5. Posterior Tibial Artery (pulsatile)
  6. Flexor Retinaculum