Foot & Ankle MTP Joint Anatomy Image

Foot & Ankle MTP Joint Anatomy Image

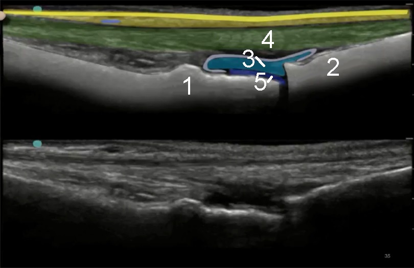
  1. Distal Metatarsal Head
  2. Proximal Phalanx
  3. Joint Capsule
  4. Extensor Tendon